文章導讀:慢性白血病起病緩慢,病程長,早期多無明顯癥狀。有些病人在體格檢查或因其他疾病就診時發現。主要癥狀為乏力、消瘦、發熱、脾腫大等。今天小編就帶領大家簡單了解一下這種血液疾病。
慢性白血病起病緩慢,病程長,早期多無明顯癥狀。有些病人在體格檢查或因其他疾病就診時發現。主要癥狀為乏力、消瘦、發熱、脾腫大等。今天小編就帶領大家簡單了解一下這種血液疾病。
慢性白血病按細胞來源分為慢性粒細胞白血病(CML)和慢性淋巴細胞白血?。–LL)。

一起來了解慢性白血病
病理變化
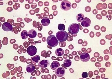
1、周圍血像 周圍血白細胞顯著增多,數量正?;驕p少者少見。CML時白細胞增多尤為明顯,多在10萬~至80萬/μ1之間,少數甚至可超過100萬,其中大多數為較成熟的中、晚幼和桿狀核粒細胞,早幼粒和原粒細胞很少。嗜堿性和嗜酸性粒細胞也增多。CML時中性粒細胞內堿性磷酸酶常缺如或降低。
2、骨髓 CML時骨髓增生活躍,各期粒細胞均可見到,以中、晚幼粒和桿狀粒細胞占優勢,幼紅細胞和巨核細胞早期可增生,血小板增多,晚期則被抑制。CLL骨髓內淋巴細胞增多,可呈結節狀或彌漫性浸潤,主要為成熟的小淋巴細胞,原及幼淋巴細胞很少。粒、紅、巨核細胞系及血小板均減少。
3、淋巴結 CLL時淋巴結明顯腫大。早期淋巴結可活動,晚期瘤細胞浸潤包膜,腫大的淋巴結常相互融合,并與周圍組織粘連。切面灰白色魚肉狀。鏡下可見淋巴結內有大量瘤細胞浸潤,嚴重者淋巴結構破壞消失。CML時淋巴結輕至中度腫大,不如CLL明顯。
4、脾 脾多明顯腫大,CML最顯著,可達4000~5000g。腫大的脾占據腹腔大部,甚至可達盆腔。紅髓脾竇內有大量白血病細胞浸潤,可壓迫血管引起梗死。CLL時,脾腫大不如CML時嚴重,一般不超過2500g。腫大的脾包膜增厚,常有纖維性粘連,質較硬,切面暗紅色,脾小體不明顯,呈均質狀。鏡下見大量白血病細胞浸潤,CLL時主要累及白髓,嚴重者白血病細胞彌漫浸潤,脾小體和脾髓結構消失。
5、肝 肝中度腫大,表面光滑。鏡下,各型白血病的浸潤方式不同。CLL時,瘤細胞多浸潤于匯管區及其周圍;CML時,瘤細胞多沿肝竇呈彌漫性浸潤。
此外,慢性白血病時,白血病細胞并常浸潤胃腸、心、腎、皮膚等全身器官和組織。白血病細胞浸潤處可破壞相應的組織和器官而引起出血、感染等繼發性變化。
http://www.82287709.com/manxingbaixuebing/878.html以上內容就是關于[一起來了解慢性白血病] 的內容分享;栗建華主任告訴大家,中醫藥治療血液病有著廣闊的資源優勢。數十年來他探索了中醫治療血液病的途徑,經長期臨床研究,發現血液病的致病因素多為“邪毒”所致,如放射線、化學藥品,農藥、病毒、細菌等均為中醫“邪毒”范疇。在大量臨床研究基礎上,他提出“邪毒傷腎”的理論,創立了“解毒透邪、瀉實固本”,以促進骨髓造血功能的治療方法,打破了以往治療該病單一立論的傳統觀點,對不同疾病采取辨證辨病相結合,針對病因采取不同的治療方案,為中醫治療血液病提供了系統的理論依據和治療法則,臨床上使病情得到了好轉。